Bệnh nhân N.V.Đ, trú tại Hà Nội, đi khám trong tình trạng đau vùng thượng vị suốt hai tháng, cơn đau lan ra sau lưng và ngày càng dữ dội. Kết quả siêu âm tại MEDLATEC ghi nhận nhiều nốt giảm âm ở gan và hạch thượng vị, nghi ngờ tổn thương ung thư di căn. Các bác sĩ nhanh chóng chỉ định thêm nội soi dạ dày – đại tràng và chụp cắt lớp vi tính (CT) để làm rõ tình trạng bệnh.
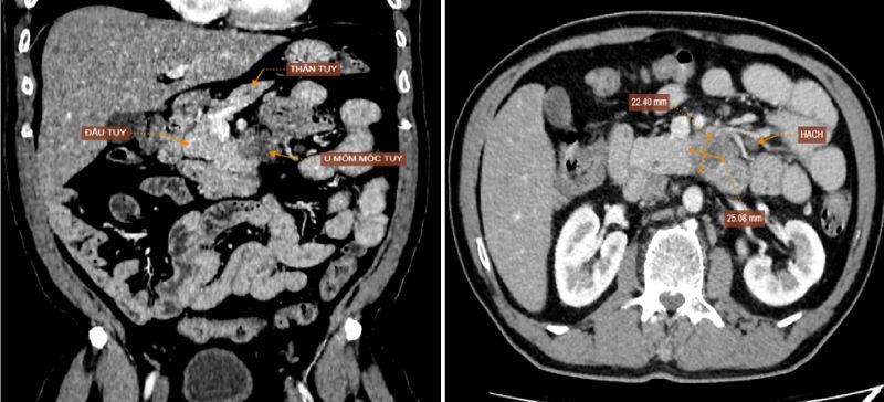
Kết quả nội soi không ghi nhận bất thường, tuy nhiên hình ảnh CT cho thấy khối u vùng mỏm móc đầu tụy có dấu hiệu xâm lấn động mạch mạc treo tràng trên và tá tràng. Đồng thời phát hiện thêm tổn thương đa ổ ở gan, hạch ổ bụng và nốt đặc ở thùy dưới phổi phải – nghi ngờ di căn xa. Kết quả sinh thiết sau đó xác nhận bệnh nhân mắc ung thư biểu mô tuyến tụy giai đoạn T4N2M1 (giai đoạn cuối). Bệnh nhân được chuyển sang cơ sở chuyên khoa ung bướu để tiếp tục điều trị.

Hình ảnh chụp cắt lớp vi tính ổ bụng phát hiện khối u vùng mỏm móc đầu tụy.
Ung thư tuỵ có tỷ lệ tử vong cao bậc nhất
Theo bác sĩ Nguyễn Sỹ Thiện, Trung tâm Chẩn đoán hình ảnh MEDLATEC, ung thư tụy hiện là một trong những bệnh lý có tỷ lệ tử vong cao nhất trong các loại ung thư đường tiêu hóa. Số liệu từ Tổ chức Y tế Thế giới (WHO) cho thấy khoảng 90% bệnh nhân được phát hiện khi bệnh đã ở giai đoạn muộn, khiến tỷ lệ sống sau 5 năm chỉ dao động từ 5–10%.
Nguyên nhân chủ yếu là do bệnh thường không biểu hiện rõ ràng trong giai đoạn đầu. Các triệu chứng của ung thư tụy như đau âm ỉ vùng thượng vị, chán ăn, mệt mỏi, sụt cân… rất dễ bị nhầm với các bệnh lý thông thường như viêm dạ dày, rối loạn tiêu hóa. Ngoài ra, do tuyến tụy nằm sâu trong ổ bụng, sát nhiều cơ quan quan trọng như gan, tá tràng, động mạch lớn… khiến khối u dễ phát triển âm thầm trong thời gian dài mà không gây triệu chứng rõ rệt.
Điều đáng lo ngại hơn, ung thư tụy có tốc độ tiến triển nhanh, dễ xâm lấn mạch máu lớn và di căn sớm đến gan, phổi, hạch bạch huyết. Nhiều trường hợp khi phát hiện thì khối u đã không còn khả năng phẫu thuật. Phẫu thuật vốn là phương pháp điều trị triệt để duy nhất đối với căn bệnh này.
Các bác sĩ khuyến cáo người dân, đặc biệt là nhóm có nguy cơ cao như người hút thuốc lá, mắc đái tháo đường, viêm tụy mạn tính, béo phì hoặc có tiền sử gia đình bị ung thư tụy, cần chủ động kiểm tra sức khỏe định kỳ. Việc không chủ quan với những dấu hiệu đau bụng kéo dài hay bất thường tiêu hóa có thể giúp phát hiện bệnh sớm bệnh. Đây là yếu tố then chốt quyết định hiệu quả điều trị và tiên lượng sống cho bệnh nhân.
Đọc bài gốc tại đây.